健康节拍丨当心:这6个"身体信号",说明你压力太大!

2015-05-12 16:21:18

 

健康节拍丨当心:这6个"身体信号",说明你压力太大!

引导语

 

你的指甲上是不是时常出现一些小白点,或者你的牙龈是不是经常出血?

你的胳膊上是不是时出现囊肿?或者你的肠胃是不是常不舒服

这些其实是你的身体在警告你:你已经“压力山大”了!


 

 

  当然,你可能会觉得难以置信:为啥精神上承受的压力,会反映在身体上呢?

  营养师说,这是因为当你承受压力时,你的荷尔蒙、脑细胞、心跳等很多身体机能都会相应地加大“功率”,结果就导致你身体里的养分快速流失,出现上面这些奇特的症状。

  而如果长期处于压力巨大的状态下,你甚至会出现严重的营养失调,体内维生素和矿物质也会大量流失,进而引发一些更严重的病症。所以,你必须得对症下药,及时补充这些流失的养分!

  下面,就是6个反映你压力过大的身体信号、以及你该如何应对的办法:

 

1.嘴唇开裂:需要补充维他命B6

 

 

  原因:维他命B6是我们的精神系统所必须的一种养分。简单来说,这种养分的作用是帮助大脑稳定我们的情绪,并帮助我们安稳入睡的。所以,当我们长期处于压力下的时候维他命B6就会快速流失。

  如何补充:多吃萝卜、鸡肉、鸡蛋、鱼肉、豆类、香蕉、玉米、土豆、卷心菜。这些食物中都含有维生素B6。

 

 

2.睡觉时磨牙:需要补充维他命B5

 

 

  原因:维他命B5有“抗压维他命”之称,因为B5有助于人体生产抵抗压力的荷尔蒙和免疫抗体等成分。B5的另一个重要作用,是当我们遭受压力事件后,能够帮我们稳定情绪。当然,这也就意味着,当你处于长期压力的情况下,B5的消耗也会是巨大的。

  而B5短缺所会导致的一个直接影响,就是你会经常磨牙,特别是在睡觉的时候。(小编就是这种情况…)另一个直接影响,则是记忆障碍。

  如何补充:牛肉、鸡蛋、新鲜蔬菜、蘑菇、坚果都含有维他命B5,可多吃些。

 

 

3.指甲上出现白点:缺锌

 


  原因:人们通常认为指甲上出现白点是缺钙的表现,但有时这也意味着锌的缺乏。

  作为人体中作重要的矿物质之一,锌能够帮助我们的身体生成很多重要的酶,这些酶是人体免疫系统和进一步生成荷尔蒙所必不可少的部分。锌还是人体生成各种能量,以及自我修复和繁殖所必须的矿物质。

  于是,当你长期精神压力过大时,锌的消耗也是巨大的。指甲上的白点也会因为锌的缺乏开始出现。这个时候,你就需要补锌了!

  如何补充:由于蔬菜的特殊结构,导致蔬菜中锌比较难以被人体吸收,所以最理想的补锌方式是吃肉,特别是鱼肉、螃蟹、蚌肉,以及坚果、葵花籽、南瓜籽。

 

 

4.总便秘或拉稀:缺镁

 

 

  乍一听,你可能会感到惊讶:怎么我们人体中还有镁?但镁这种矿物质不仅真实地存在于我们的人体中,还是我们骨骼、软组织和体液的重要组成部分!

  就压力方面来说,当我们面临压力的时候,会消耗大量的镁,而当我们从压力中缓过劲来的时候,也需要镁让我们的肌肉和大脑镇定下来。所以,如果我们总处在反复的压力下,镁就会很快被耗尽。

  镁缺乏的后果,主要体在肌肉和神经上,比如肌肉疼痛和失眠。不仅如此,镁缺乏还会令我们的肠道肌肉出现不适,导致消化问题,腹痛,便秘或拉稀。

 

  如何补充:坚果、黄豆、萝卜、豌豆、葵花籽、芝麻籽、鱼肉。

 

 

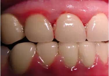
5.牙龈出血:缺乏维他命C

 


  维他命C有助于生成抗压荷尔蒙、免疫蛋白,以及构成我们身体各处组织的胶原质。也恰恰是因为维C的作用如此巨大,在我们长期处于压力状态时,我们更需要不断补充它,以免出现因维C缺乏而导致的各种不适。

  牙龈出血,就是维C开始缺乏而出现的一个明显症状,另一个相似的症状就是身体很容易出现瘀伤。此外,总是容易感冒,或者旧病不愈,也与维C缺乏有关。

  抽烟、喝酒等不良生活嗜好,也容易令维C大量流失。

  如何补充:浆果、绿叶菜、西兰花、菠萝、洋葱、草莓、番茄、芒果、柑橘。

 

 

6.嗓子或上呼吸道经常感染:缺乏维生素A

 

  维生素A不仅可以让你在夜里看得更清楚,还有助于增强的身体对抗病菌的能力,特别是那些容易导致你呼吸道、肠胃以及尿道感染的病菌。

  所以,如果你总感冒,而且每次都会导致呼吸道感染,就是缺少维生素A了。那么,多吃一些绿叶菜和高质量的有机肉可能有助于你的病情好转,因为这些都可以补充维生素A。

  如何补充:动物的肝脏、鱼肝油、萝卜、绿叶菜、桃子、南瓜,西兰花。

 

 

(本文转自每日健康养身)

 

 
 

微信扫一扫
关注该公众号

健康节拍丨当心:这6个"身体信号",说明你压力太大!